RESTAURATIVNA DENTALNA MEDICINA

Dijagnostika, analiza i plan terapije

bt_bb_section_bottom_section_coverage_image

- RESTAURATIVNA DENTALNA MEDICINA

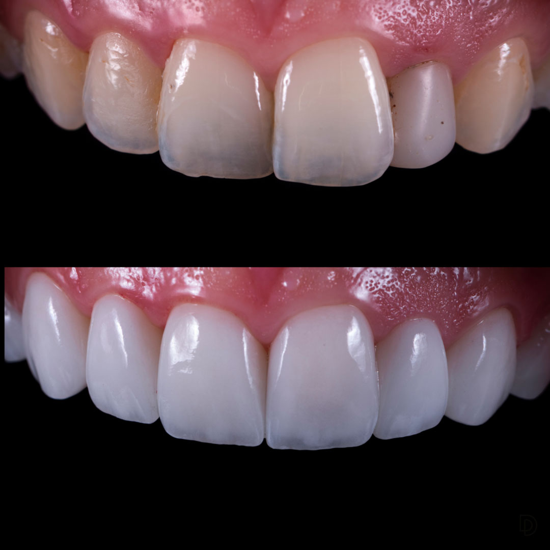
Restaurativna dentalna medicina je grana stomatologije koja se bavi obnovom oštećenih, karijesom zahvaćenih ili istrošenih zubi. Cilj je vratiti prirodnu strukturu i funkciju osmijeha te poboljšati opće oralno zdravlje pacijenta. Restaurativna dentalna medicina obuhvaća različite zahvate poput ispuna, kompozitnih onlaya i ljuskica.

https://staging.ordinacija-vinkovic.hr/wp-content/uploads/2022/04/vinkovic-ljuskice-body-2.jpg

 Materijali za ispune su danas visokokvalitetni kompoziti  koji osiguravaju trajnost i estetski izgled, jer se mogu prilagoditi prirodnoj boji zuba.

Zašto odabrati nas?

Odabir pravog stomatološkog tima ključan je za očuvanje zdravlja vaših zubi i osmijeha. Naša ordinacija ističe se predanošću prema svakom pacijentu, koristeći najmodernije tehnologije i metode kako bismo osigurali vrhunsku njegu i dugoročne rezultate.

Svaki posjet započinjemo detaljnim pregledom kojim provjeravamo stanje vaših zubi, uključujući postojeće ispune i eventualne promjene. Naš tim osigurava profesionalno čišćenje kamenca ultrazvučnim instrumentom, poliranje i pjeskarenje, jer redovita briga o oralnom zdravlju čini temelj za dugotrajan osmijeh.

https://staging.ordinacija-vinkovic.hr/wp-content/uploads/2020/01/post_05-640x480.jpg

Ako osjetite povremenu osjetljivost ili bol, brzo i učinkovito rješavamo sve uzroke, od karijesa do parodontnih promjena, vraćajući vam osjećaj ugode i sigurnosti. Za one koji žele transformirati svoj osmijeh, nudimo revolucionarni Digital Smile Design – personalizirani plan izrade vašeg budućeg osmijeha koji možete vidjeti i isprobati prije početka zahvata.

S nama ćete doživjeti spoj stručnosti, modernih metoda i individualnog pristupa koji jamči osmijeh pun povjerenja.

KONTAKTIRAJTE NAS

Mobitel
091/220-4444
Email
ordinacijavinkovic@gmail.com

Zakažite termin

Jednostavno popunite formu u nastavku i kontaktirat ćemo Vas u najkraćem mogućem roku.